DEEP DENTAL CARE & IMPLANT CENTER
Reaching New Heights in Dentistry

  • ABOUT
  • FACILITIES
  • STERILIZATION
  • SERVICES
  • CLINIC TOUR
  • CONTACT
  • APPOINTMENT
  • FAQ

    Our Dental Services

    • Root Canal
    • Fixed Teeth
    • Implants
    • Tooth Color Fillings
    • Esthetic Dentistry
    • Correction Of Irregular Teeth
    • Gum Problem & Their Solutions
    • Kids Dentistry
    • Mobile teeth Solutions
    • Wisdom Teeth
    • Full mouth rehabilitation
    • Dentures

    WHY CORRECTION OF IRREGULAR TEETH IS REQUIRED?

    The irregular teeth alignment also named teeth malformation, it forms in one's growing development and a variety of inborn hereditary factors and postnatal environmental factors lead to the deformed teeth, jaw bone and facial bone. The teeth malformation brings not only beauty-damage problem but also some serious illnesses such as articulation temporomondibularis disease and parodontopathy.

  • This is done with the aid of braces.
  • The orthodontic treatment (braces) can be done at any age, but when done in the growing phase i.e. 12 – 16 years of age the results obtained are more rapid and promising.
  • Usually this treatment is a long term treatment.
  •  

    Various types of braces available at DDC are…

    Metallic braces:   Ceramic braces:
     
    Invisalign braces:   Colorful braces for kids
     
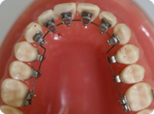
    Lingual orthodontics: this is done on the inner surface of the teeth.
       
    • Home
    • About
    • Facilities
    • Services
    • Clinic Tour
    • Contact
    • Appointments
    • FAQ
    • Login To Mail



    © 2013, All rights reserved by Deep Dental Care                                                                                               Design Developed By LaGenius Infocom